banner brunorodas 1920x750 novo 3
foto bruno 2

Comprometidos com a excelência odontológica

Combinamos técnicas avançadas, cuidado delicado e anos de experiência para lhe proporcionar um sorriso saudável e confiante. Desde consultas de rotina até tratamentos especializados, focamos no conforto, na precisão e em resultados nos quais você pode confiar. Seu sorriso é nossa prioridade e nos dedicamos a ajudá-lo a mantê-lo por toda a vida.

logo drbruno final

Clinica
Dr.Bruno Rodas

 

Localizada no Rua Urussuí, 92 – Cj31 – Vila Nova Conceição, São Paulo – SP, 04542-050 em SP , a Clinica  possui uma estrutura completa, oferecendo todo conforto e cuidado para seus pacientes. Estacionamento com manobrista.

Áreas de Atuação

Seguimos um processo claro e amigável para o paciente, a fim de tornar cada tratamento mais fácil. Utilizando tecnologia avançada, proporcionamos resultados seguros, eficazes e previsíveis.

icon01 free img.png

Clínica Geral

Odontologia Clínica Geral

Icon02 Free Img

Facetas de Parcelana

Tradicionalmente chamadas de facetas de porcelana. São geralmente feitas em cerâmica, material vítreo também conhecido por porcelana.

Icon03 Free Img

Implantes Dentários

Constituídos em titânio, material biocompatível, ou seja, podem permanecer no organismo humano sem rejeição ou danos ao tecido ósseo.

Icon04 Free Img

Prótese Dental

A introdução de próteses livres de metal na odontologia possibilitou resultados ainda mais estéticos e duradouros.

Icon05 Free Img

Clareamento Dental

Quantas vezes já escutamos que um belo sorriso abre portas? Dentes amarelados causam o efeito de “sorriso envelhecido”.

icon02 free img.png

Ortodontia / Invisalign

Invisalign é uma maneira quase invisível de alinhar os dentes sem aparelho de metal.

Trabalhos Recentes

Ter como ciência a arte, como meta, a excelência e como missão, tornar visível aos olhos o que antes escondido, o maravilhoso poder de sorrir.

lentes contato

Lentes de Contato

A cor amarelada e falta de harmonia deste sorriso, eram as principais queixas do paciente. Após uma avaliação cuidadosa e um planeamento, foram instaladas 10 lentes de contato em porcelana,  em um procedimento indolor e minimamente invasivo.

Clareamento

procedimento estético seguro que utiliza géis de peróxido de hidrogênio ou carbamida para quebrar moléculas de pigmento na dentina, tornando os dentes mais brancos.

clareamento
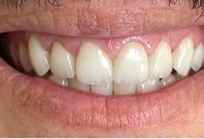
lente contato 2

Lentes de Contato

A cor amarelada e falta de harmonia deste sorriso, eram as principais queixas do paciente. Após uma avaliação cuidadosa e um planeamento, foram instaladas 10 lentes de contato em porcelana,  em um procedimento indolor e minimamente invasivo.

Mais Casos Clínicos

A sua saúde oral é importante para nós.

Consiga um sorriso mais brilhante com um especialista

Entre em Contato